Long Beach

Torrance Dental Spa

Services Offered

About the Business

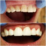
Torrance Dental Spa is your ultimate destination for a healthy and beautiful smile. If you’re searching for expert dentists in Torrance, look no further. We offer comprehensive dental services, including teeth cleanings, exams, fillings, dental crowns, and extractions. Our skilled team specializes in dental implants, restoring missing teeth with natural-looking replacements. Want to enhance your smile? We offer custom-designed dental veneers and teeth whitening. We understand dental emergencies can happen anytime, so we offer same-day appointments for urgent needs. At Torrance Dental Spa, we utilize state-of-the-art technology and prioritize your comfort. Experience gentle and caring dental care in Torrance. Schedule your appointment today.

Photos

Day Hours
Monday 9:30 AM - 7:00 PM
Tuesday 8:00 AM - 5:00 PM
Wednesday 8:00 AM - 5:00 PM
Thursday 8:00 AM - 5:00 PM
Friday 8:00 AM - 5:00 PM
Saturday Closed
Sunday Closed

Comfort Dental Center

Services Offered

About the Business

Comfort Dental Center delivers quality, affordable dentistry in a friendly and comfortable environment. Our dentists offer services including emergency dental care, cosmetic dentistry, wisdom teeth removal, veneers, dental implants, Invisalign, teeth whitening, crowns & bridges, root canals, gum disease treatment, orthodontics, oral surgery, periodontics, botox treatments, along with many other types of treatments. Our goal is to help remove the stress often associated with going to the dentist so that our patients can achieve a beautiful and healthy smile that enhances the quality of their lives. At Comfort Dental Center we guarantee gentle, effective dentistry in a modern, state of the art practice. Our office is family friendly so children are welcome. We want each patient to achieve optimal oral health so our team believes that listening to each patient and creating a partnership is the key to maintaining and improving lifelong oral health.

Photos

Day Hours
Monday 9:00 AM - 6:00 PM
Tuesday 9:00 AM - 6:00 PM
Wednesday 9:00 AM - 6:00 PM
Thursday 9:00 AM - 6:00 PM
Friday 9:00 AM - 6:00 PM
Saturday Closed
Sunday Closed

Shanna Chirco, DDS

Services Offered

About the Business

Our office specializes in quality personalized and comfortable family dentistry, cosmetic dentistry, general dentistry, restorative dentistry and more. We provide teeth cleaning, root canals, fillings, extractions, bridges, dental crowns, dentures, implants, Invisalign, teeth whitening, night guards, snore guards and much more. Treatment is also available for dental emergencies and wisdom tooth problems. Our goal is to ensure that we can provide you with the best and most comprehensive dental care. Our primary focus is exceptional treatment and happy patients. Call now to schedule your visit! We accept most dental insurance including, but not limited to, the following: Aetna | Aflac | Ameritas | Assurant | BC/BS Blue Cross Blue Shield | CareCredit | Cigna | Delta Dental | Delta DPO | Delta Premier | Dentemax | Great West | Guardian | Humana PPO | Lincoln Financial | MetLife | Principal Financial | United Concordia | United Healthcare

Photos

Day Hours
Monday 9:00 AM - 6:00 PM
Tuesday Closed
Wednesday 8:00 AM - 5:00 PM
Thursday 8:00 AM - 5:00 PM
Friday 8:00 AM - 5:00 PM
Saturday Closed
Sunday Closed

Carson Dental

Services Offered

About the Business

Welcome to Carson Dental. Dr. Mina Abraham and our team strive to offer affordable and long-lasting dental treatments in Carson, California, whether that means dental implants and crowns, root canal therapy, teeth whitening, Invisalign treatment, or a simple cleaning and exam. We also enjoy meeting new patients from Torrance, Lomita and Palos Verde. We do more than create new smiles. We also build relationships and provide a place where you feel comfortable having your dental needs met. With our variety of care options, we can offer all of the treatments your smile needs in our office.

Photos

Day Hours
Monday 9:00 AM - 6:00 PM
Tuesday 9:00 AM - 6:00 PM
Wednesday 9:00 AM - 6:00 PM
Thursday 9:00 AM - 6:00 PM
Friday 8:00 AM - 5:00 PM
Saturday Closed
Sunday Closed

Long Beach Total Dental Care

Services Offered

About the Business

We are a full service general and family practice. We see patients of all ages. Our full range of services to name a few include cosmetic dentistry, endodontist, veneers, orthodontic treatment, root canal therapy, surgery and 3rd molar extractions and implant services, denture and crown and bridge services. We are also an Invisalign and Invisalign Teen Preferred Provider. We pride ourselves with the latest and trusted dental techniques and equipment. We understand you may be anxious about your visit and share your concerns and strive to make every dental visit comfortable. We can play your personal music list or choose from our collection. You can also watch your favorite movie while in treatment! In addition to topical and local anesthetic, anti-anxiety medication is available for those patients who may need a little more help relaxing. Dr. Janice Pronstroller and Dr. Steven Singh welcome you to our practice.

Photos

Day Hours
Monday Closed
Tuesday 10:00 AM - 7:00 PM
Wednesday 10:00 AM - 7:00 PM
Thursday 10:00 AM - 7:00 PM
Friday 10:00 AM - 7:00 PM
Saturday 8:00 AM - 6:00 PM
Sunday Closed